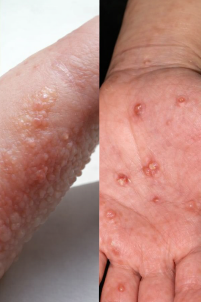
lf you have these sings on the body see a doctor immediaeIy
Blisters that itch on the hands and feet often result from sweating, allergic reactions, stress, or changes in the weather. These triggers can cause the skin to react, leading to discomfort.

The blisters may become painful or irritating, especially during flare-ups, and can cause skin peeling or redness. This can interfere with daily activities if left unmanaged.
To relieve symptoms, cool compresses are commonly recommended. They help reduce inflammation and soothe itching, providing temporary relief.
Keeping the skin hydrated is important. Regular use of moisturizers can prevent dryness, cracking, and peeling, making the skin less vulnerable to flare-ups.
In more severe cases, doctors may prescribe topical steroids or other medications to control inflammation and manage symptoms effectively. Medical guidance ensures proper treatment and prevents complications.
Preventive strategies are also key. Identifying personal triggers, moisturizing frequently, and reducing stress can help limit the occurrence and severity of outbreaks.
Consistency in care is essential. Following a daily routine of hydration, avoiding irritants, and using prescribed treatments can help keep the condition under control.
While this skin condition can disrupt everyday life, it can be managed successfully with proper attention, self-care, and guidance from healthcare professionals.
